کروموزومها حامل اطلاعات ژنتیکی بدن ما هستند و هرگونه تغییر در تعداد آنها میتواند باعث بروز اختلالات مختلف شود. برخی از این اختلالات نسبتاً شایعترند و تأثیر قابل توجهی بر رشد و ویژگیهای فرد دارند. در این پست، سه مورد از مهمترین اختلالات عددی کروموزومی یعنی سندروم داون (تریزومی ۲۱)، تریزومی ۱۸ و سندروم ترنر به صورت خلاصه بررسی میشوند.
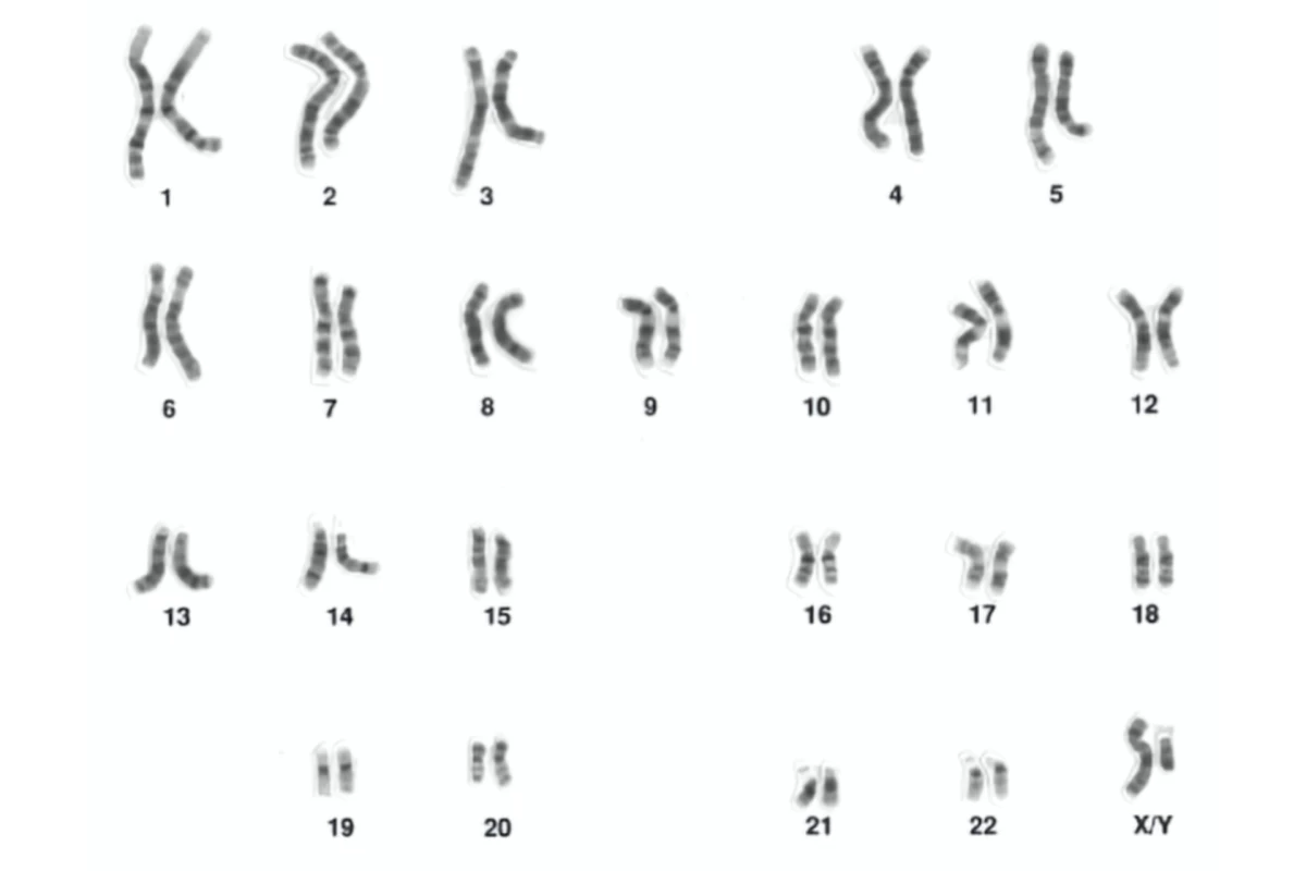
کروموزومها ساختارهایی درون هستهی سلول هستند که مادهی ژنتیکی (DNA) را در خود نگه میدارند و بسیاری از ویژگیهای بدن را تعیین میکنند. هر انسان به طور طبیعی ۴۶ کروموزوم (۲۳ جفت) دارد که نیمی از پدر و نیمی از مادر به ارث میرسد. از این ۲۳ جفت، یک جفت مربوط به تعیین جنسیت است. در حالت معمول، ترکیب XX منجر به جنسیت دختر و ترکیب XY منجر به جنسیت پسر میشود. اگر در تعداد یا ساختار کروموزومها تغییری ایجاد شود (مانند کم یا زیاد شدن یک کروموزوم) اختلال کروموزومی رخ میدهد. این تغییرات میتوانند بر رشد جسمی، تواناییهای ذهنی یا عملکرد برخی اندامها تأثیر بگذارند.
1) سندروم داون (تریزومی 21) سندروم داون (Down Syndrome) یکی از شایعترین اختلالات کروموزومی است که به دلیل وجود یک نسخه اضافی از کروموزوم ۲۱ ایجاد میشود. به طور طبیعی هر فرد دو نسخه از هر کروموزوم دارد، اما در این اختلال به جای دو نسخه، سه نسخه از کروموزوم ۲۱ وجود دارد و به همین دلیل «تریزومی ۲۱» نامیده میشود. این وضعیت معمولاً در اثر جدا نشدن صحیح کروموزومها در مراحل اولیه تشکیل جنین رخ میدهد و در نتیجه جنین به جای ۴۶ کروموزوم، ۴۷ کروموزوم خواهد داشت. احتمال بروز این اختلال با افزایش سن مادر بیشتر میشود، هرچند میتواند در هر سنی اتفاق بیفتد. افراد مبتلا معمولاً برخی ویژگیهای ظاهری مشترک دارند؛ از جمله چهره گرد، چشمهای مایل، گردن کوتاه و کاهش تون عضلانی در دوران نوزادی. با این حال شدت این ویژگیها در افراد مختلف متفاوت است.
افراد دارای سندروم داون معمولاً درجاتی از ناتوانی ذهنی خفیف تا متوسط را تجربه میکنند، اما با آموزش مناسب، توانبخشی و حمایت اجتماعی میتوانند مهارتهای فردی و اجتماعی قابل توجهی کسب کنند. در برخی موارد، مشکلات پزشکی همراه مانند ناهنجاریهای قلبی مادرزادی، اختلالات شنوایی یا بینایی و مشکلات تیروئیدی نیز مشاهده میشود که نیازمند پیگیری پزشکی منظم است. این اختلال به سه نوع اصلی تقسیم میشود: نوع کامل که شایعترین شکل است و در آن تمام سلولها دارای کروموزوم اضافی هستند، نوع موزاییک که تنها بخشی از سلولها درگیر هستند، و نوع جابجایی که به علت انتقال بخشی از کروموزوم ۲۱ به کروموزوم دیگر ایجاد میشود.
2) تریزومی 18 تریزومی 18 (Trisomy 18) یکی دیگر از اختلالات عددی کروموزومی است که به دلیل وجود یک نسخه اضافی از کروموزوم ۱۸ ایجاد میشود. در این وضعیت، به جای دو نسخه طبیعی، سه نسخه از کروموزوم ۱۸ در سلولهای بدن وجود دارد. این تغییر معمولاً در مراحل اولیه تشکیل جنین رخ میدهد و باعث میشود تعداد کل کروموزومها به ۴۷ برسد. تریزومی ۱۸ نسبت به تریزومی ۲۱ شیوع کمتری دارد، اما معمولاً با مشکلات جدیتری در رشد همراه است. بسیاری از جنینهای مبتلا پیش از تولد یا در ماههای نخست زندگی با چالشهای جدی پزشکی روبهرو میشوند.
نوزادان مبتلا به تریزومی ۱۸ معمولاً دارای وزن کم هنگام تولد، رشد آهسته، ناهنجاریهای قلبی مادرزادی و مشکلات در شکلگیری برخی اندامها هستند. فرم خاص دستها (انگشتان روی هم قرار گرفته) و سر کوچکتر از حد معمول نیز از ویژگیهای شایع این اختلال است. شدت علائم در بیشتر موارد بالا است و نیاز به مراقبتهای تخصصی پزشکی وجود دارد. مانند سایر اختلالات عددی کروموزومی، احتمال بروز تریزومی ۱۸ با افزایش سن مادر بیشتر میشود. این اختلال نیز میتواند به صورت کامل، موزاییک یا ناشی از جابجایی کروموزومی دیده شود، هرچند نوع کامل آن شایعتر است.
3) سندروم ترنر (مونوزومی X) یک اختلال کروموزومی است که تنها در دختران دیده میشود و به دلیل وجود یک کروموزوم X به جای دو کروموزوم X ایجاد میگردد. در حالت طبیعی، هر فرد مونث دارای دو کروموزوم X است، اما در این اختلال یکی از این کروموزومها به طور کامل یا جزئی وجود ندارد. به همین دلیل به آن «مونوزومی X» نیز گفته میشود. این تغییر معمولاً در مراحل اولیه تشکیل جنین رخ میدهد و باعث میشود برخی ویژگیهای رشدی و هورمونی تحت تأثیر قرار گیرند. شدت علائم در افراد مختلف میتواند متفاوت باشد.
از ویژگیهای شایع سندروم ترنر میتوان به قد کوتاهتر از میانگین، تأخیر در بلوغ و مشکلات مربوط به عملکرد تخمدانها اشاره کرد. در برخی موارد، ناهنجاریهای قلبی یا کلیوی نیز مشاهده میشود که نیازمند بررسی پزشکی منظم است. با این حال، سطح هوش در بیشتر افراد مبتلا طبیعی است و با تشخیص زودهنگام و مراقبت مناسب میتوان کیفیت زندگی مطلوبی داشت. سندروم ترنر ممکن است به صورت کامل در تمام سلولهای بدن وجود داشته باشد یا به شکل موزاییک دیده شود؛ یعنی تنها بخشی از سلولها درگیر باشند. تشخیص این اختلال معمولاً از طریق بررسی کروموزومها در آزمایشهای ژنتیکی انجام میشود.
جالب بود 🛐
خسته نباشی به نظرم باید ویژه شه!!