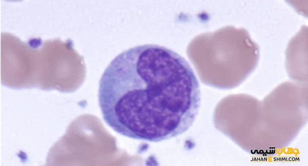
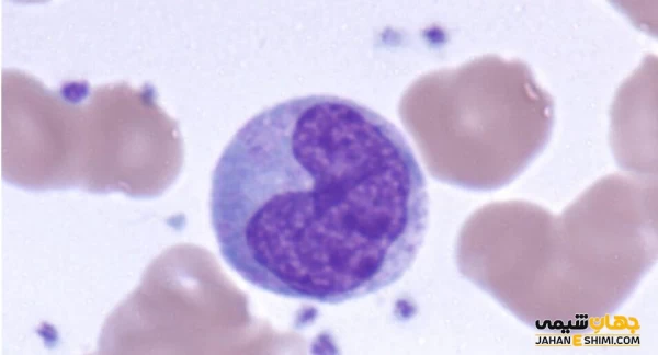
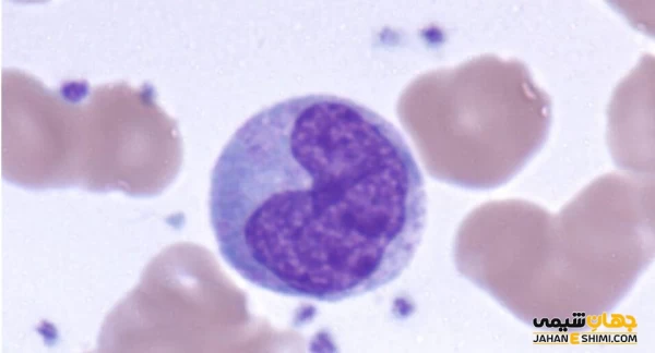
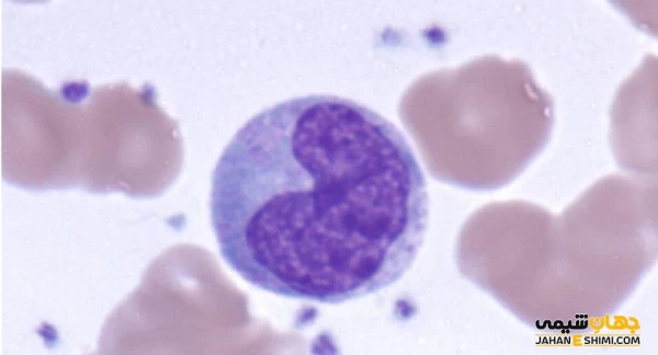
بیگانهخوارها، فاگوسیتها، یا ذرهخوارها (به انگلیسی: phagocytes ) سلولهایی هستند که بخشی از دستگاه ایمنی بدن را تشکیل دادن
4 اسلاید
نتیجه
مجموع امتیاز شما
امتیاز
تعداد پاسخ صحیح
تعداد پاسخ غلط
درصد صحیح
شما به درصد سوالات پاسخ درست دادید
اگر پسندیدی، لایک کن و به سازنده انرژی بده!
11 لایک
زیست✨🙂🎀
بله بله
یاد کتاب زیستم افتادم😂
عالییی
@Yasna
جهت حمایتت
______
جهت حمایتت
عالیی بود زیبارو لذت بردممم 🎀🛐✨😭
( بهبود فردی ، نسخه برتر انسان ؟ ) ناظر برسیش کنن 😭
خیلی جالب بود باید ویژه شههه
فرصتتت؟
ممنوننننن