
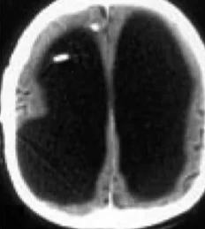
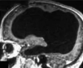
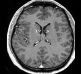
در نمونه ای نادر، یک فرد با از دست دادن حدود ۹۰ درصد از مغز خود همچنان از هوشیاری کامل برخودار است. این اتفاق باعث شده که دانشمندان بار دیگر بر نظریههای خود و تعریف هوشیاری از نظر بیولوژیکی بازنگری کنند. با زومیت همراه باشید تا در مورد این نمونهی پزشکی بیشتر بحث کنیم.
5 اسلاید
نتیجه
مجموع امتیاز شما
امتیاز
تعداد پاسخ صحیح
تعداد پاسخ غلط
درصد صحیح
شما به درصد سوالات پاسخ درست دادید
اگر پسندیدی، لایک کن و به سازنده انرژی بده!
37 لایک
✨𝐈 𝐬𝐡𝐢𝐧𝐞 𝐚𝐥𝐨𝐧𝐞, 𝐛𝐚𝐲𝐛✨
ایشالا ویژه بشه
نشده...
@𝔐𝔦𝔞
مرسی گل رز کوچولو درخواست دادم امیدوارمویژه بشه.
______
نشد؟؟
نه...
وای فوقالعاده بود، لیاقت ویژه شدن! 🛐✅👏🏻🤌🏻👌🏻
مرسی گل رز کوچولو درخواست دادم امیدوارمویژه بشه.
من مطمئنم که میشه!!
منم امیدوارم😊
زیباترین پستی که تا الان خوندم😭💞