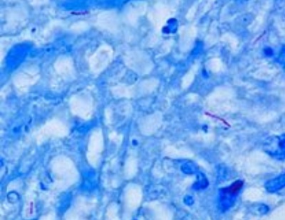
برای آشنایی با باکتری مایکوباکتریوم توبرکلوزیس این مطلب را تا انتها مطالعه کنید..........
8 اسلاید
نتیجه
مجموع امتیاز شما
امتیاز
تعداد پاسخ صحیح
تعداد پاسخ غلط
درصد صحیح
شما به درصد سوالات پاسخ درست دادید
اگر پسندیدی، لایک کن و به سازنده انرژی بده!
9 لایک

ترسناکه
بک میدم
😅💝👍