.
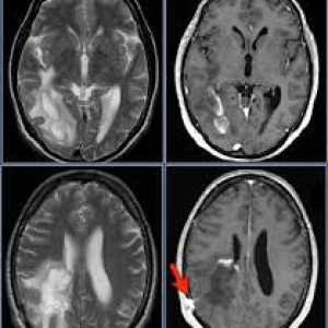
درمان آن تشخیص بیماری ام اس توسط علائم اولیه آن انجام میشود که عبارتاند از: تاری دید و دوبینی، سرگیجه و عدم تعادل و اختلال در راه رفتن، اسپاسم عضلانی یا دردهای شدید و بیدلیل عضله، بی حسی و خوابرفتگی و ضعف عضلات، احساس خستگی، تشنج، سردرد، ریزش مو و خارش، اختلالات کارکرد جنسی، دستگاه گوارش و مثانه، اختلالات احساسی و شناختی و حافظه، افسردگی و با شیوع کمتر اختلالات تنفسی و اختلال در صحبت کردن.
چنانچه هر کدام از این علایم ۲۴ ساعت یا بیشتر ادامه پیدا کرد، باید به پزشک متخصص نورولوژی یا متخصص مغز و اعصاب مراجعه کرد و با توجه به تشخیص پزشک میتوان به درمان بیماری پرداخت.
تشخیص بیماری احتیاج به آزمایشهای مختلفی دارد. گاهی اوقات تشخیص قطعی ممکن است ماهها طول بکشد که در این صورت باید با شکیبایی به انجام آزمایشات و دستورات پزشکی عمل کرد. در تشخیص بیماری ام اس و درمان آن باید به پزشک اعتماد کنید و روند مستمر درمان را پیگیری فرمایید.
در سالهای اخیر در زمینه داروهای درمان بیماری ام اس پیشرفتهای چشمگیری رخ داده است؛ از انواع داروهای تزریقی و خوراکی میتوان نام برد که بسته به شرایط و میل بیمار میتوان از آنها استفاده کرد؛ اما آنچه مسلم است تغییر در سبک زندگی در روند بهبودی بیماری موثر است. این تغییر شامل دوری از استرس و کار زیاد، پرهیز از دخانیات، انجام ورزش سبک و منظم که باعث خستگی نشود، داشتن یک رژیم متعادل که حاوی چربی، پروتئین و کربوهیدرات به میزان مناسب باشد، خوردن بیشتر مواد دارای آنتیاکسیدان مانند میوه و سبزیجات تازه،
حفظ متعادل سطح ویتامین D خون و داشتن روحیه شاد و اعتماد به پزشک از مهمترین نکات تغییر سبک زندگی است. باید در نظر داشت از آنجا که روند درمان بیماری ام اس طولانیمدت است، این بیماری میتواند تا حدودی توانایی ما را در داشتن یک زندگی طبیعی محدود کند؛ اما این به معنی نداشتن یک زندگی طبیعی و معمولی نیست.
اگر پسندیدی، لایک کن و به سازنده انرژی بده!
نظرات بازدیدکنندگان (0)